Please note. To obtain the certificate, you must answer each quiz question, including the assessment questions. Your score is based upon the quiz questions only and not the assessment questions. A score of 70% or greater is necessary on the quiz questions to obtain the certificate, which is then made immediately available.
Quiz: Placenta Accreta, Placenta Previa
Quiz Summary
0 of 27 Questions completed
Questions:
Information
You have already completed the quiz before. Hence you can not start it again.
Quiz is loading…
You must sign in or sign up to start the quiz.
You must first complete the following:
Results
Results
0 of 27 Questions answered correctly
Your time:
Time has elapsed
You have reached 0 of 0 point(s), (0)
Earned Point(s): 0 of 0, (0)
0 Essay(s) Pending (Possible Point(s): 0)
Categories
- Not categorized 0%
- 1
- 2
- 3
- 4
- 5
- 6
- 7
- 8
- 9
- 10
- 11
- 12
- 13
- 14
- 15
- 16
- 17
- 18
- 19
- 20
- 21
- 22
- 23
- 24
- 25
- 26
- 27
- Current
- Review
- Answered
- Correct
- Incorrect
-
Question 1 of 27
1. Question
The term placenta accreta is a general term for an abnormal placental attachment disorder.
CorrectIncorrect -
Question 2 of 27
2. Question
In placenta increta, the placenta invades all the way to the surface of the uterus.
CorrectIncorrect -
Question 3 of 27
3. Question
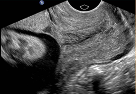
What best describes this image?
CorrectIncorrect -
Question 4 of 27
4. Question
The pathology of placenta accreta is related to a defect in the decidua basalis caused by uterine scaring.
CorrectIncorrect -
Question 5 of 27
5. Question
Other than C-sections, no other forms of uterine scarring are associated with placenta accreta.
CorrectIncorrect -
Question 6 of 27
6. Question
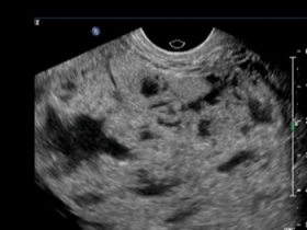
What best describes this image?
CorrectIncorrect -
Question 7 of 27
7. Question
In placenta increta, microscopic examination of the uterine specimen shows invasion of the chorionic villi (placental tissue) into the myometrium.
CorrectIncorrect -
Question 8 of 27
8. Question
The incidence of placenta accreta has not changed during the last several decades.
CorrectIncorrect -
Question 9 of 27
9. Question
Given the presence of this image, what would be your next recommendation?
CorrectIncorrect -
Question 10 of 27
10. Question
The number of C-Sections has no bearing on the incidence of placenta accreta.
CorrectIncorrect -
Question 11 of 27
11. Question
The presence or absence of lacunae is important in assessing the risk for maternal hemorrhage. In some studies, no hysterectomies were performed when lacunae were absent.
CorrectIncorrect -
Question 12 of 27
12. Question
Given this image, what is the next imaging modality you would recommend?
CorrectIncorrect -
Question 13 of 27
13. Question
The risk of placenta previa is higher in pregnancies following assisted reproduction.
CorrectIncorrect -
Question 14 of 27
14. Question
The rate of placenta previa is about the same among twin pregnancies compared to singleton pregnancies.
CorrectIncorrect -
Question 15 of 27
15. Question
This image most likely represents what clinical entity?
CorrectIncorrect -
Question 16 of 27
16. Question
If a total placenta previa is present at 30 weeks gestation, about 75% will persist or be present at term.
CorrectIncorrect -
Question 17 of 27
17. Question
Placenta previa patients have higher rates of:
CorrectIncorrect -
Question 18 of 27
18. Question
In an incomplete placenta previa, the placental edge is within which distance from the internal cervical os.
CorrectIncorrect -
Question 19 of 27
19. Question
What diagnosis is suggested by this image?
CorrectIncorrect -
Question 20 of 27
20. Question
What degree best describes you?
CorrectIncorrect -
Question 21 of 27
21. Question
What is your area of specialization?
CorrectIncorrect -
Question 22 of 27
22. Question
Which of the following best describes your primary practice setting?
CorrectIncorrect -
Question 23 of 27
23. Question
Please select a primary work environment.
CorrectIncorrect -
Question 24 of 27
24. Question
The activity enhanced my current knowledge base.
CorrectIncorrect -
Question 25 of 27
25. Question
Was the content fair, balanced, objective, and free of bias?
CorrectIncorrect -
Question 26 of 27
26. Question
As a result of this activity, what changes do you intend to make? (1=Few Changes to 5=Greatest Number of Changes)
CorrectIncorrect -
Question 27 of 27
27. Question
As a result of this activity, what specific changes do you intend to make? Fill in the blank.
-
I intend to .
CorrectIncorrect -
